Diş Beyazlatma

Klinik Erenköy’de diş beyazlatma uygulamaları, zamanla renk değiştirmiş ya da sararmış dişlerin, doğal tonuna kavuşmasını sağlayan güvenli ve etkili estetik diş hekimliği işlemleridir. Lazer destekli ve ev tipi beyazlatma yöntemleriyle, gülüşünüzdeki farkı kısa sürede hissedin. Diş Beyazlatma Nedir? Diş beyazlatma; çay, kahve, sigara, şarap gibi renklenmeye neden olan maddelerin etkisiyle zamanla sararan veya koyulaşan diş minesinin, özel jeller ve ışık sistemleri yardımıyla açılması işlemidir. Estetik kaygıların giderilmesinin yanı sıra kişinin özgüvenini artıran bir tedavi seçeneğidir.
Diş Renginiz Neden Değişir? Çay, kahve, kola ve benzeri içeceklerin sık tüketimi Sigara ve tütün ürünleri kullanımı Yaşa bağlı doğal renk değişimi Yetersiz ağız hijyeni Bazı ilaçların uzun süreli kullanımı Travma veya genetik faktörler

Klinik Erenköy’de Uygulanan Diş Beyazlatma Yöntemleri Ofis Tipi (Lazer Destekli) Beyazlatma: Klinik ortamında yapılan, en hızlı sonuç alınan yöntemdir. Özel beyazlatıcı jel ve lazer ışığı kullanılarak tek seansta 2-3 ton açılma sağlanır. Ev Tipi Diş Beyazlatma: Hastaya özel hazırlanan plaklarla evde kullanım için uygundur. Hekim kontrolünde verilen jel yardımıyla 1-2 hafta içinde etkili sonuçlar alınır. Kombine Beyazlatma: Hem ofis hem de ev tipi tedavi birlikte uygulanarak maksimum etki elde edilir.

Awesome Image

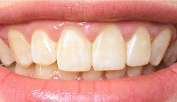
Önce

Awesome Image

Sonra

Prosedür Türleri

Profesyonel

Klinik Erenköy’de, uzman diş hekimlerimiz tarafından gerçekleştirilen işlemler, son teknoloji ekipmanlar ve steril tekniklerle yapılır.

Lazer Prosedürü

Klinik Erenköy’de lazer teknolojisi kullanılarak gerçekleştirilen işlemlerde, daha az invaziv ve daha az ağrılı bir deneyim sunar.

Evde Prosedür

Klinik Erenköy’de, yapılan işlemler sonrası hastalarımıza evde bakım talimatları verilir. Bu talimatlar, tedavi sürecinin daha hızlı ve etkili olmasını sağlar.

Genel Prosedür

Klinik Erenköy’de, kanal tedavisi işlemleri genellikle 1-2 seans sürer. Her seansın süresi, dişin durumuna bağlı olarak değişiklik gösterebilir.

Diş Hekimlerimizle Tanışın

Awesome Image

Uzm.Dt.Aslı Konca Taşova

Ortodonti

Ortodonti Anabilim Dalı’nda tamamlayan hekiminiz akademisyen ve klinisyen olarak çalışmalarına devam etmektedir.

Profili Görüntüle
Awesome Image

Uzm.Dt.Gözde Kurt

Ağız, Diş ve Çene Radyolojisi

Ağız, Diş ve Çene Radyolojisi bölümünde uzmanlık eğitimi almıştır.Hekimimiz akademisyen ve klinisyen olarak çalışmalarını sürdürmektedir.

Profili Görüntüle
Awesome Image

Uzm.Dt. Gaye Dikme

Periodontoloji Uzmanı

Ağız, Diş ve Çene Cerrahisi ve Periodontoloji kliniklerinde uzman hekim olarak görev almıştır.Hekimimiz akademisyen ve klinisyen olarak çalışmalarını sürdürmektedir.

Profili Görüntüle

Çalışma Saatleri

  • Hafta içi: 10.00 - 19.00
  • Cumartesi: 10.00 - 19.00

İletişim

  • Adres Bilgileri : 19 Mayıs, Gürsoylu Sokağı NO:32-34/40
    Kadıköy/İstanbul
  • info@klinikerenkoy.com
  • 0507 766 70 44