Kanal Tedavisi (Endodonti)

Klinik Erenköy’de kanal tedavisi, derin çürükler, travmalar veya enfeksiyonlar nedeniyle hasar gören dişlerin iç yapısını temizleyip onararak dişi ağızda tutmayı hedefleyen etkili bir tedavi yöntemidir. Kanal tedavisi sayesinde çekilmesi gereken bir diş, uzun yıllar işlevini sürdürebilir hale gelir.
Kanal Tedavisi Nedir? Kanal tedavisi (endodontik tedavi), dişin içinde bulunan sinir dokusu (pulpa) iltihaplandığında veya öldüğünde uygulanan bir işlemdir. Enfekte olmuş sinir dokusu temizlenir, kök kanalları özel aletler ve solüsyonlarla dezenfekte edilir ve ardından doku dostu materyallerle doldurularak dişin yapısı korunur.

Klinik Erenköy'de Kanal Tedavisi Süreci Nasıl İşler? Muayene ve Röntgen: Dişin durumu detaylıca değerlendirilir. Lokal Anestezi: Tedavi sırasında hiçbir ağrı hissedilmez. Pulpa Temizliği: Enfekte sinir ve damar dokusu temizlenir. Kanal Şekillendirme ve Dezenfeksiyon: Özel cihazlarla kök kanalları şekillendirilir ve mikroplardan arındırılır. Dolgu ve Kaplama: Kanal içi doldurulur, gerekirse diş üzerine kaplama (kron) yapılır.

Awesome Image

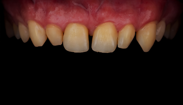
Önce

Awesome Image

Sonra

Prosedür Türleri

Profesyonel

Klinik Erenköy’de, uzman diş hekimlerimiz tarafından gerçekleştirilen işlemler, son teknoloji ekipmanlar ve steril tekniklerle yapılır.

Lazer Prosedürü

Klinik Erenköy’de lazer teknolojisi kullanılarak gerçekleştirilen işlemlerde, daha az invaziv ve daha az ağrılı bir deneyim sunar.

Evde Prosedür

Klinik Erenköy’de, yapılan işlemler sonrası hastalarımıza evde bakım talimatları verilir. Bu talimatlar, tedavi sürecinin daha hızlı ve etkili olmasını sağlar.

Genel Prosedür

Klinik Erenköy’de, kanal tedavisi işlemleri genellikle 1-2 seans sürer. Her seansın süresi, dişin durumuna bağlı olarak değişiklik gösterebilir.

Diş Hekimlerimizle Tanışın

Awesome Image

Uzm.Dt.Aslı Konca Taşova

Ortodonti

Ortodonti Anabilim Dalı’nda tamamlayan hekiminiz akademisyen ve klinisyen olarak çalışmalarına devam etmektedir.

Profili Görüntüle
Awesome Image

Uzm.Dt.Gözde Kurt

Ağız, Diş ve Çene Radyolojisi

Ağız, Diş ve Çene Radyolojisi bölümünde uzmanlık eğitimi almıştır.Hekimimiz akademisyen ve klinisyen olarak çalışmalarını sürdürmektedir.

Profili Görüntüle
Awesome Image

Uzm.Dt. Gaye Dikme

Periodontoloji Uzmanı

Ağız, Diş ve Çene Cerrahisi ve Periodontoloji kliniklerinde uzman hekim olarak görev almıştır.Hekimimiz akademisyen ve klinisyen olarak çalışmalarını sürdürmektedir.

Profili Görüntüle

Çalışma Saatleri

  • Hafta içi: 10.00 - 19.00
  • Cumartesi: 10.00 - 19.00

İletişim

  • Adres Bilgileri : 19 Mayıs, Gürsoylu Sokağı NO:32-34/40
    Kadıköy/İstanbul
  • info@klinikerenkoy.com
  • 0507 766 70 44